Demos: 7B-12 Newton's Rings


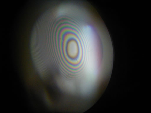
Directions: This demonstration uses the same basic apparatus as in Demo 7B - 11. The soap film holder is replaced by the lens-plate combination.
Suggestions for Presentation: Be sure to point out the non-linearity of the results, i.e. if the space between the two elements increased uniformly (forming an air wedge), the rings would be uniformly spaced. However, since the lens surface is curved, the thickness of the air space increases non-linearly.
Applications:
Last Updated: Nov 30, 2023 11:25 AM